7 prostych i skutecznych porad na walkę z kamieniem nazębnym!

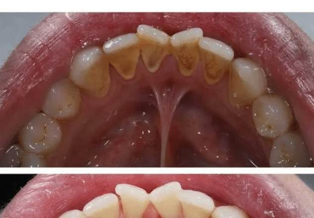
Myjesz zęby. Nitkujesz. Uśmiechasz się — a potem zauważasz to w lustrze: żółtawy, chrupiący nalot na linii dziąseł, szczególnie na tylnej stronie przednich zębów. To kamień nazębny, czyli płytka nazębna, i jest czymś więcej niż tylko skazą kosmetyczną. To stwardniała płytka nazębna, która pozostała, zmineralizowana przez ślinę i teraz mocno przyklejona do zębów. Trudna prawda: gdy kamień nazębny się utworzy, nie da się go usunąć szczoteczką do zębów. Tylko dentysta lub higienistka może go usunąć za pomocą profesjonalnego czyszczenia. Ale dobra wiadomość jest taka, że ​​możesz zapobiec jego powrotowi, a nawet zmniejszyć widoczność przebarwień i spowolnić odkładanie się płytki nazębnej dzięki prostym, niewymagającym wysiłku nawykom, które z łatwością wpasujesz w swój dzień. Bez ekstremalnych zabiegów. Bez ostrego szorowania. Tylko 7 popartych naukowo, zatwierdzonych przez dentystów wskazówek, które wymagają niewielkiego lub żadnego dodatkowego wysiłku, ale zapewniają zauważalnie czystszy, jaśniejszy uśmiech.

### Dlaczego kamień nazębny to coś więcej niż tylko
przebarwienie Kamień nazębny to nie tylko nieestetyczny widok – to ciche zagrożenie dla zdrowia jamy ustnej. Kiedy płytka nazębna twardnieje i tworzy kamień nazębny, to:
* Tworzy szorstką powierzchnię, do której przylega więcej płytki nazębnej
* Uwięzi szkodliwe bakterie pod linią dziąseł, prowadząc do zapalenia dziąseł (wczesnego stadium choroby dziąseł)
* Może rozwinąć się w paradontozę – główną przyczynę utraty zębów
* Powoduje nieświeży oddech, recesję dziąseł i nadwrażliwość zębów

Czy wiesz, że ponad 75% dorosłych powyżej 35. roku życia cierpi na jakąś formę choroby dziąseł, często spowodowaną nagromadzeniem się kamienia nazębnego. Klucz? Profilaktyka. A zaczyna się od mądrych, zrównoważonych nawyków.

### 7 prostych sposobów na zapobieganie i redukcję kamienia nazębnego (przy minimalnym wysiłku)
To nie są cudowne lekarstwa – to drobne zmiany o dużych efektach. A co najlepsze? Większość z nich już stosujesz – musisz tylko robić to dobrze.

#### 1. Używaj szczoteczki elektrycznej (niech ona wykona pracę)
Szczotkowanie szczoteczką manualną często pomija miejsca, zwłaszcza w pobliżu linii dziąseł. Oscylująca szczoteczka elektryczna usuwa do 100% więcej płytki nazębnej niż szczoteczka manualna. Wskazówka: Wystarczy ją włączyć i delikatnie przesuwać po zębach – bez konieczności szorowania. Bonus: Większość szczoteczek ma wbudowany 2-minutowy timer, który zapewnia wystarczająco długie szczotkowanie, dwa razy dziennie. Badania naukowe dowodzą, że szczoteczki elektryczne z czasem znacznie redukują odkładanie się kamienia nazębnego.

#### 2. Przejdź na pastę do zębów zapobiegającą osadzaniu się kamienia nazębnego (z fluorkiem cyny).
Nie wszystkie pasty do zębów są sobie równe. Szukaj formuł „przeciw kamieniowi nazębnemu”, które zawierają fluorek cyny, a nie tylko fluorek sodu. Dlaczego to działa:
* Fluorek cyny zabija bakterie powodujące płytkę nazębną
* Tworzy warstwę ochronną na zębach
* Zmniejsza stany zapalne dziąseł
Poziom wysiłku: Zero — to samo szczotkowanie, które już wykonujesz. Wypróbuj: Crest Pro-Health, Colgate Total

#### 3. Płucz wodą utlenioną (2x w tygodniu).
Szybkie płukanie 3% wodą utlenioną (rozcieńczoną w wodzie w stosunku 1:1) może:
* Zabić bakterie powodujące płytkę nazębną
* Wybielić przebarwienia powierzchniowe
* Ukoić podrażnione dziąsła.
Wskazówka: Płucz podczas prysznica – rób to wielokrotnie i oszczędzaj czas. Nie stosuj codziennie – może wysuszać dziąsła, jeśli jest nadużywany.

#### 4. Jedz chrupiące owoce i warzywa (Nature’s Toothbrush)
Jabłka, marchewki i seler są nie tylko zdrowe — są również naturalnymi skrobaczkami do płytki nazębnej. Podczas żucia ich włóknista konsystencja delikatnie szoruje zęby i stymuluje wydzielanie śliny, naturalnego środka czyszczącego jamę ustną. Jak to pomaga:
* Usuwa resztki jedzenia
* Neutralizuje kwasy
* Zwiększa produkcję śliny
Wskazówka dotycząca przekąski: Przechowuj pokrojone warzywa w lodówce, aby mieć łatwą przekąskę, która pomoże oczyścić zęby.

#### 5. Pij więcej wody (szczególnie po posiłkach).
Woda to najlepszy przyjaciel Twojej jamy ustnej. Wypłukuje resztki jedzenia i cukier, neutralizuje kwasy z bakterii i wspomaga wydzielanie śliny, która naturalnie zwalcza płytkę nazębną. Wskazówka: Zamień jeden napój gazowany lub słodzoną kawę na wodę. Profesjonalna rada: Płucz i połykaj wodę po posiłkach – to jak darmowy mini płyn do płukania ust.

#### 6. Używaj irygatora Waterpik (Gum Line Light Cleaning).
Tradycyjne nitkowanie zębów działa, ale wiele osób je pomija, bo jest uciążliwe. Wprowadź irygator Waterpik. Używa on pulsującego strumienia wody, aby usunąć płytkę nazębną z przestrzeni między zębami i spod linii dziąseł – ulubionego miejsca kamienia nazębnego. Wymaga to bardzo niewiele wysiłku – wystarczy wycelować i gotowe. Dowody: Badania pokazują, że irygatory Waterpik skuteczniej redukują zapalenie dziąseł i odkładanie się kamienia nazębnego niż sama nić. Używaj go podczas szczotkowania – zajmuje to mniej niż minutę.

#### 7. Żuj gumę bez cukru z ksylitolem (po posiłkach)
Żucie gumy nie tylko odświeża oddech – to także ukryty środek zwalczający płytkę nazębną. Ksylitol, naturalny słodzik, usuwa szkodliwe bakterie z jamy ustnej z resztek jedzenia i zapobiega ich przywieraniu do zębów. Wskazówka: Żuj jeden kawałek przez 5 do 10 minut po jedzeniu. Dodatkowo: Zwiększa wydzielanie śliny i odświeża oddech. Szukaj gum z co najmniej 1 gramem ksylitolu na kawałek – marek takich jak Pur, Spry lub XyliMelts.

### Co nie zadziała (bez względu na to, jak bardzo się starasz)
* Soda oczyszczona szoruje – może uszkodzić szkliwo, jeśli jest nadużywana
* Węgiel aktywowany – nie ma udowodnionych korzyści i może działać ściernie
* Płukanie ust olejem – może nieznacznie zmniejszyć ilość bakterii, ale nie usunie kamienia nazębnego
* Sok z cytryny lub ocet – kwaśne i uszkadzają szkliwo

Pamiętaj: Gdy kamień nazębny już się utworzy, tylko higienistka stomatologiczna może go bezpiecznie usunąć.

### Jak rozpoznać kamień nazębny?
Zwróć uwagę na następujące objawy:
* Żółte lub brązowe plamy w pobliżu linii dziąseł
* Szorstka tekstura podczas przesuwania języka po zębach
* Krwawienie lub obrzęk dziąseł
* Uporczywy nieświeży oddech
Rozwiązanie: Odwiedzaj dentystę co 6 miesięcy na profesjonalne czyszczenie zębów. To jedyny sposób na całkowite usunięcie kamienia nazębnego i utrzymanie zdrowych dziąseł.

### Podsumowanie: Zapobieganie to potęga
Nie potrzebujesz idealnej rutyny, aby walczyć z kamieniem nazębnym. Wystarczy kilka mądrych, zrównoważonych nawyków. Używaj szczoteczki elektrycznej. Wybierz odpowiednią pastę do zębów. Żuj gumę z ksylitolem. Pij wodę. I nigdy nie pomijaj czyszczenia zębów. Bo jaki jest najlepszy sposób na pozbycie się kamienia nazębnego? Zatrzymaj go, zanim się pojawi. Twój uśmiech nie wymaga więcej wysiłku — wystarczy kilka odpowiednich ruchów.

Leave a Reply

Your email address will not be published. Required fields are marked *